Beba 24. studenoga 2025.

Čudo na Rebru: Bebi još napola u maternici odstranili s vrata tumor veličine glave

Foto: Robert Anić/PIXSELL
klokanica postala miss7mama.24sata.hr

Takav zahvat na djetetu s izrazito velikom i složenom malformacijom prvi put je izveden u KBC-u Zagreb i predstavlja značajni iskorak u skrbi za najranjivije i najmanje pacijente.

Multidisciplinarni tim KBC-a Zagreb uspješno je izveo novi, iznimno zahtjevan zahvat na novorođenčetu s izrazito velikim tumorom vrata koji je bio rizičan i za majku i za dijete s obzirom na to da je dio izveden dok je dijete bilo tek djelomično porođeno, a dio neposredno nakon rođenja.

Takav zahvat na djetetu s izrazito velikom i složenom malformacijom prvi put je izveden u KBC-u Zagreb i predstavlja značajni iskorak u skrbi za najranjivije i najmanje pacijente.

"Za spasiti ovaj mali, tek novorođeni život, bilo je potrebno da se udruže ginekolozi, otorinolaringolozi, pedijatri i neuroradiolozi. To pokazuje snagu KBC-a Zagreb. Jedinstvena kombinacija stručnjaka, jedinstvena u Hrvatskoj pa i u bližem okruženju, omogućila je da se ovo postigne", rekao je ravnatelj KBC-a Zagreb Fran Borovečki na konferenciji za novinare u ponedjeljak.

Tumor je djetetu zatvarao dišne puteve

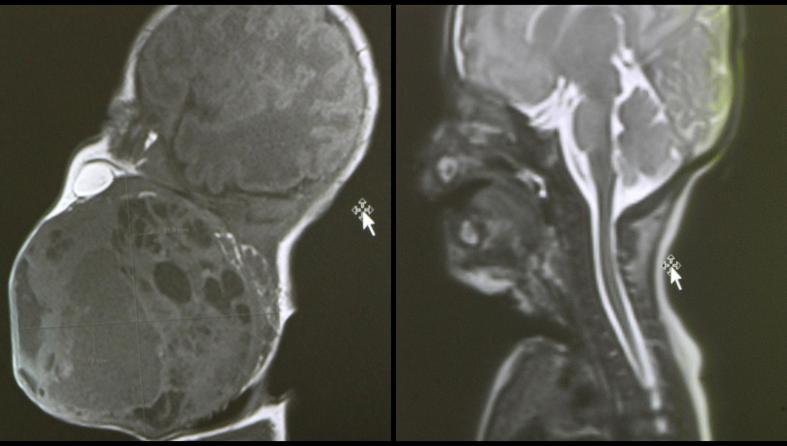
Prema nalazima magnetske rezonance prije poroda, tumor je bio gotovo veličine djetetove glave i zatvarao je dišne puteve. Dijete bi bilo životno ugroženo ako bi se rodilo normalnim putem, stoga je tim liječnika morao razraditi i biti spreman na nekoliko varijanti liječenja, a na kraju je profunkcionirala prva opcija.

"Tijekom carskog reza, kada je otvorena maternica, djetetova glava je izvađena, a ostatak tijela je bio u maternici pa je dijete bilo vezano za placentu i putem pupkovine dobivalo kisik. Pristupili smo glavi i pokušavali uspostaviti dišni put", objasnila je pročelnica Zavoda za neonatologiju i intenzivnu medicinu Ruža Grizelj. U sali je, kaže, bilo 20 ljudi.

Zagreb: Konferencija za medije povodom uspješnog izvođenja novog, medicinski zahtjevnog zahvata visoke složenosti | Author: Robert Anic/PIXSELL Foto: Robert Anic/PIXSELL 24.11.2025., Zagreb - Konferencija za medije povodom uspjesnog izvodjenja novog, medicinski zahtjevnog zahvata visoke slozenosti na malom pacijentu s izrazito velikim tumorom vrata, a koji je operativno zbrinut neposredno nakon rodjenja. Rijec je o postupku koji je u KBC-u izveden prvi put, a koji predstavlja vazan napredak u skrbi za najmladje pacijente. Ana Hrkac Pustahija, Drago Prgomet, Ruza Grizelj, Fran Borovecki, Vesna Elvedji Gasparovic, Ratko Prstacic i David Ozretic Photo: Robert Anic/PIXSELL

Istaknula je da su razgovarali s roditeljima tijekom trudnoće i objasnili im cijeli postupak te dodala da je to bilo jedino sigurno rješenje za preživljenje djeteta.

"Kada smo bili sigurni da smo uspostavili umjetno disanje preko tubusa koji je stavljen u dušnik, tada smo rekli - idemo poroditi dijete. Dijete je izvađeno kompletno izvan maternice, podvezana je pupkovina i nakon što smo ga stabilizirali, istoga dana je učinjeno kompletno odstranjenje tumora s obzirom na to da smo nekoliko sati nakon samog poroda primijetili u intenzivnoj da se tumor povećava", rekla je Grizelj.

Grizelj: Takav se postupak radi u vrlo visoko specijaliziranim centrima u svijetu; dijete se smatra izliječenim

Grizelj je pri tome istaknula da se takav postupak radi u vrlo visoko specijaliziranim centrima u svijetu rijetko, jednom do dva puta godišnje i najčešće u ovakvim indikacijama ekstremno velikih anomalija fetalnih dišnih putova.

Predstojnik Klinike za bolesti uha, nosa i grla i kirurgiju glave i vrata Drago Prgomet rekao je da je, osim odstranjenja tumora, bilo potrebno sačuvati sve funkcije u području glave i vrata koje će omogućiti djetetu da normalno diše, guta i jednog dana govori.

"U ovom trenutku mislim da smo sve to uspjeli. Naravno, slijedi praćenje, eventualno rehabilitacija i doista ne sumnjam da smo svi zajedno napravili jednu sjajnu stvar", istaknuo je.

Voditelj Odjela za fonijatriju Ratko Prstačić pojasnio je da je patohistološka dijagnoza pokazala da se radi o teratomu, generalno dobroćudnom tumoru, ali s potencijalnom malignom opasnošću pa će dijete trebati onkološko praćenje, no druga terapija trenutačno nije potrebna.

Dijete se danas, nešto više od mjesec dana nakon operacije, smatra izliječenim te su i dijete i majka dobro i kod kuće su.

Komentari 0

Komentiraj, znaš da želiš!

Za komentiranje je potrebno prijaviti se. Nemaš korisnički račun? Registracija je brza i jednostavna, registriraj se i uključi se u raspravu.